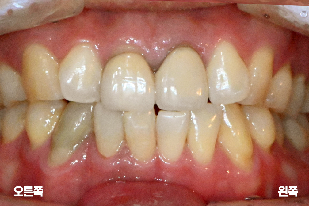
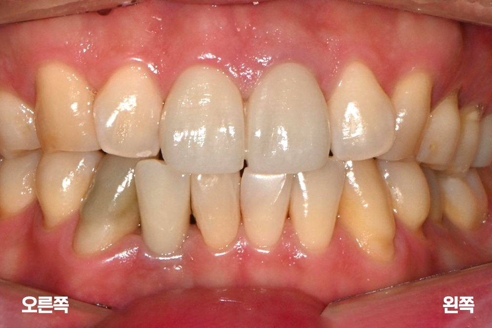
앞니치료 윗 앞니 기존 크라운 아래 충치 재치료
페이지 정보
작성자 최고관리자
작성일 2025-09-12
조회 12회
본문
크라운


위 전후사진은 이미지사진으로 실제 눈으로 보는 것과는 다를 수 있으며, 환자의 치아상태과 방법에 따라 치료결과가 다를수 있습니다.
사진의 날짜는 촬영날짜이며 치료의 기간이 아님을 알려드립니다.
치료 후 치아표면의 탈회 , 충치, 치근흡수 등의 부작용이 있을 수 있습니다.
- 다음글앞니 치아 4개 치료 25.09.12