Menu
성화식구강악안면외과치과
알립니다
치과 이야기
의료진소개
진료시간 및 찾아오시는 길
치과 둘러보기
핵심진료
임플란트
골이식술
상악동거상술
턱관절 치료
사랑니발치
중점진료
충치치료
신경치료
치주잇몸치료
보철치료
스케일링
비슷한 사례찾기
임플란트
앞니치료
충치치료
사랑니발치
비슷한 사례찾기
비슷한 사례찾기 카테고리
임플란트
열린 분류
앞니치료
충치치료
사랑니발치
Total 3건
1 페이지
3
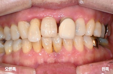
윗 앞니 기존 크라운 아래 충치 재치료
MORE
2
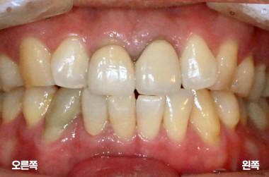
앞니 치아 4개 치료
MORE
1
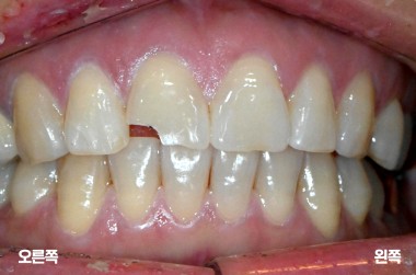
깨진 앞니 크라운 치료
MORE
검색
검색대상
제목
내용
제목+내용
검색어
필수
검색
닫기
네이버예약
네이버톡톡
블로그
오시는길
전화상담
네이버 예약
네이버 톡톡
블로그
SITEMAP